放射線科
専門各科と連携して、広い視野で信頼度の高い診療を行います。
特色
当科では、放射線科医がCT、MRI、TV透視検査の読影を行い、読影レポートの作成を行っています。近隣開業医の先生方からご紹介いただいた患者さんに対する問診と読影も積極的に行っています。
放射線科の常勤医師は2名です。いずれも放射線専門医の資格を持っています。また、放射線学会専門医の修練協力機関として、専門医習得前の読影指導も行っています。
診療放射線技師は18名(うち女性技師が5名)・看護師1名が在籍し、24時間体制をとっているため、CT、MRI検査を随時実施することが可能です。
当院はマンモグラフィ検診認定施設となっています。当認定読影医2名(放射線科1名、乳腺外科1名)と認定女性技師2名が、認定機器を使って基準を満たしたマンモグラフィ撮影を常時行っています。
スタッフ構成
常勤医師 2名
診療放射線技師 18名
施設認定
専門医修練協力機関
マンモグラフィ検診認定施設
主な機器の特徴
CT
![]() |
2022年3月に最新の64列マルチスライスCT(SIEMENS社製 SOMATOM.go.Top)を導入しました。従来のCTと比べ被ばく量が大幅に低下し、診断能が向上しています。 随時、造影検査も可能で、時間・件数・内容に制限を設けず検査を実施しています。 3DワークステーションもVINCENT(富士フイルムメディカル社製)を用いることで、いつでも3D画像が作成可能です。
|
|---|
MRI
![]() |
MRIは2024年6月に3.0テスラMRI(フィリップス社製 Ingenia Elition)を導入しました。AIテクノロジーを搭載し、中枢神経系から消化器科、婦人科、泌尿器科、整形外科領域まで身体の様々な部位の検査を短時間に高画質で提供できます。 |
|---|
対象疾患の診療内容・検査内容
中枢神経系領域
頭部CT、頭部MRIを至急検査対応しています。頭部MRIではルーチンで拡散強調画像とMRAを撮像しています。
特殊検査としてCTパーフュージョン検査、MRパーフュージョン検査、頸動脈プラーク精査(BB)に対応しています。
頭頸部~歯科・口腔外科領域
随時、インプラントCT検査を行っています。頸動脈CTA、MRA検査も行っています。
呼吸器系領域
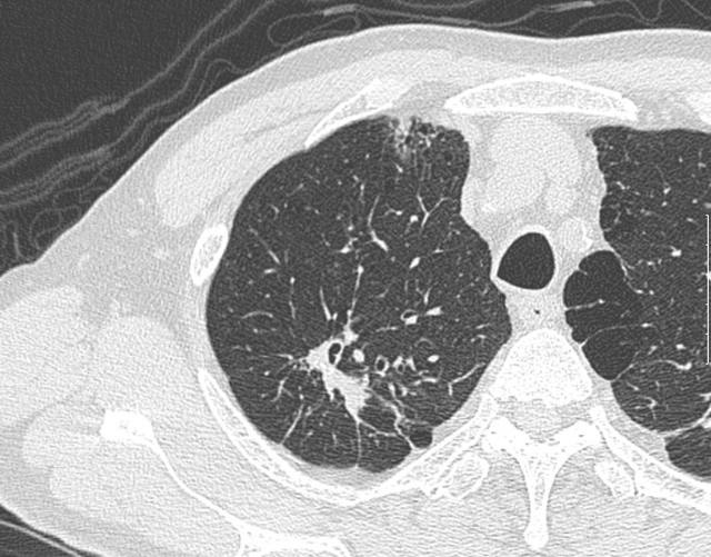
当院では、胸部CT検査時に適宜、高分解能CT画像HRCT(high-resolution CT)を追加処理しています。通常のCTと比べて、明瞭に病変部の性状を把握することができます。
また、胸部XPをお借りできれば、読影の参考にさせていただきます。
高分解能CT画像HRCT
1mm実効スライスにて高空間周波数アルゴリズムを用いた拡大画像を追加することで、小結節性病変等の検出能を高め、診断能の向上に努めています。
|
|
|
| 通常の5mmスライス画像 | 1mmスライス画像(高解像度CT画像) |
循環器系領域
CTでは冠動脈CT、肺動脈CT、大血管CT、下肢動脈CTなどの造影検査に随時対応しています。心臓血管センターが行う大動脈ステントグラフト治療に必要な精密な3次元画像を提供しています。
MRIでは非造影で、下肢MRAなど閉塞性動脈硬化症の検査に対応しています。
冠動脈CT
従来心臓カテーテル造影にて観察されていた冠動脈疾患も、外来にて評価可能となっています。
通常の造影検査と違って検査前に血圧測定、心拍数計測を行い、撮影時に心電同期の電極を装着させていただきます。検査時間は10分程度です。
|
|
|
| 右冠動脈 | 左前下行枝 左回旋枝 |
肺動脈CT
肺塞栓症では、下肢深部静脈にできた血栓が原因であることが多く見受けられます。当院では、塞栓源の検索も含め、下肢血管までの広い範囲を一度の造影検査で行っています。
|
|
|
|
| CT画像(矢印部のやや黒く見える部分が血栓) | 冠状断にて血栓を観察する | 下大静脈内の血栓 |
大血管CT
胸部腹部大動脈疾患も、広範囲にわたってスクリーニング的に精度の高い画像が提供可能となっています。
|
|
|
| 胸腹部3D画像(腹部大動脈症例) | 胸腹部3D画像(腹部ステントグラフト治療後) |
下肢動脈CT
マルチスライスCTを用いた血管描出撮影方法で、簡便に下肢血管の詳細を把握することが可能です。造影手技も通常の造影検査と同様であり、外来的に検査を受けていただけます。
下肢の血管疾患も、広範囲にわたってスクリーニング的に精度の高い画像が提供可能となっています。
|
|
|
| 石灰化、微細な血管の表示に有効なMIP画像 | 立体的に血管走行を把握するのに有効な3D画像 |
消化器系領域
CTでは救急領域の腹痛や発熱原因精査や、腫瘍マーカー異常に対する胸腹部精査に対応しています。当日の造影検査にも対応しています。MRIでは肝臓精査でEOB-Gd造影を行っています。胆道系では経口内用液(ボースデル)を用いたMRCP検査を行っています。
MRCP
MRCP(Magnetic Resonance Cholangio pancreatography)検査は、非常に長いT2値を持つ胆汁、膵液の信号を強調して画像化する撮像方法です。
描出にあたり造影剤は用いる必要はありませんが、経口造影剤注1を併用することにより、消化管信号を抑制した良好な総胆管、膵管を描出することもできます。
注1) ボースデル内用液
胃や小腸の水分信号を抑制するお薬で、検査前に250ml程度飲用していただきます。

MRCPの撮影画像
泌尿・生殖器系領域
泌尿器科医師と連携して、造影剤を用いたDIPなどの透視検査、DIP-CT(造影CTウログラフィー)を行っています。MRIでは前立腺癌精査のためのダイナミック造影と拡散強調画像検査を行っています。
婦人科領域でもMRIにてダイナミック造影、拡散強調画像検査を行っています。
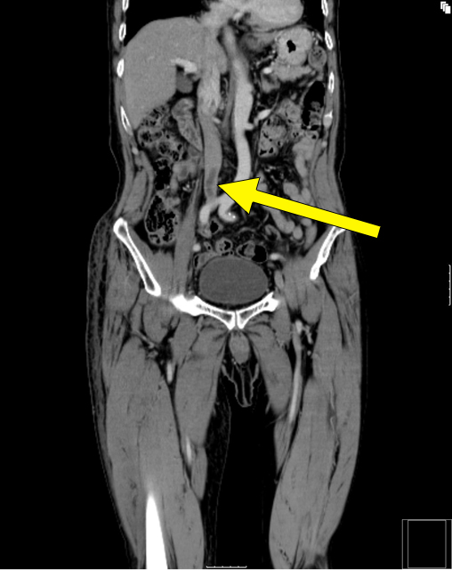
DIP-CT
腎実質や尿管、膀胱等の観察を目的とした検査で、通常の腹部造影CT検査時に6分後の撮影を追加して行います。
3D再構成やMIP像を加えることにより、従来のDIP検査のような画像を提供することが可能となっています。
|
|
|
|
| 通常のDIP検査画像 | DIP-CT 3D画像のDIP検査画像 | DIP-CT MIP画像 |

CT断面画像(尿管の位置、変形、その周囲の影響等の観察が可能)
整形外科領域
CTにて骨3D画像を作成しています。これは、通常の骨折治療術前・術後評価や、小児・障害児の骨延長術評価に用いられています。
MRIは脊椎、関節、靱帯精査以外に骨・軟部腫瘍精査に用いられています。全身拡散強調画像が可能であり、多発性骨転移精査を行っています。
乳腺領域
森之宮病院はマンモグラフィ検診認定施設で、認定読影医2名(放射線科1名、乳腺外科1名)と認定女性技師2名が、認定機器にて基準を満たしたマンモグラフィ撮影を常時行っています。
乳腺外科専門外来と連携し、エコー下、ステレオガイド下マンモトームにて精度の高い乳腺組織診断を行っています。乳腺ダイナミックMRIによる術前・治療後評価も行っています。
検査実績
CTは、2022年度~2024年度に行った検査の中で、CTとMRIの検査件数を院内・院外別にご紹介します。
2024年度検査件数
|
|
院内 |
院外 |
合計 |
|---|---|---|---|
|
CT |
9,208 |
7,622 |
16,830 |
|
MRI |
1,520 |
2,917 |
4,437 |
|
合計 |
10,728 |
10,539 |
21,267 |
2023年度検査件数
|
|
院内 |
院外 |
合計 |
|---|---|---|---|
|
CT |
9,118 |
7,698 |
16,816 |
|
MRI |
1,394 |
3,358 |
4,752 |
|
合計 |
10,512 |
11,056 |
21,568 |
2022年度検査件数
|
|
院内 |
院外 |
合計 |
|---|---|---|---|
|
CT |
8,547 |
7,142 |
15,689 |
|
MRI |
1,308 |
3,398 |
4,706 |
|
合計 |
9,855 |
10,504 |
20,395 |
スタッフ紹介
皆様に気持ちよく最先端の画像診断機器を有効活用していただくために。
![]() 放射線科部長 土井 健司 (どい けんじ) |
実際に患者さんを診察することはありませんが、最先端の技術を日常の臨床に役立てていくために、最新の画像診断機器を用いて画像検査全般の安全管理、適正利用、読影レポートの作成を行っています。院内の医師をはじめ、検査をご利用いただく近隣開業医の先生方に画像診断機器を有効に活用していただくとともに、患者さんに安全に気持ちよく検査を受けていただくことが、病気の治療に役立ち、皆様の健康を守ることだと考えております。 プロフィール1993年大阪医科大学卒業。大阪医科薬科大学放射線医学教室所属。
|
|---|
近隣医療関係の皆様へ
森之宮病院では、地域の医療機関の先生方に当施設の画像診断機器を適切に活用していただきたいと、検査の依頼を積極的に受けています。
来院された受診者は、放射線科医が依頼内容を確認し、最適な検査方法を指示しています。造影検査の問診は当院で行い、副作用が生じた場合でも24時間・救急部門で対応しています。検査結果は後日お届けし、至急検査、フィルム・結果の手渡し、FAX送付、データCD配布といったご要望もおこたえしています。
先生方への情報提供の機会として、森之宮病院主催の登録医総会、城東区医師会・学術講演会、東成区医師会・生涯教育講演会などでCT・MRI検査の活用法や胸部XPとCTの検査連携などについての講演も行っています。
※今後、当ホームページでかかりつけ医に必要な画像診断の知識についての情報提供を定期的に行っていく予定です。
検査のご依頼は地域連携室までお願いします。ご質問なども受け付けていますので、お気軽にお問い合わせください。
お問い合わせ先
|
TEL |
06-6969-0111(代) |
|---|---|
|
直通FAX |
06-6969-3336 |
|
受付時間 |
平日 9:00~19:00 |
|
担当 |

















